척추측만증 치료법, 수술비용 (feat.증상 원인)

1. 척추측만증 이란
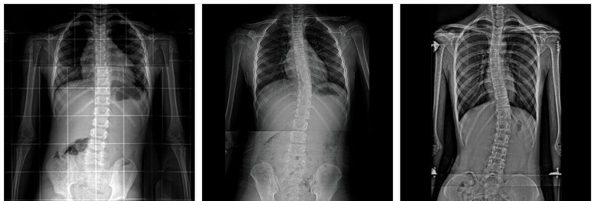
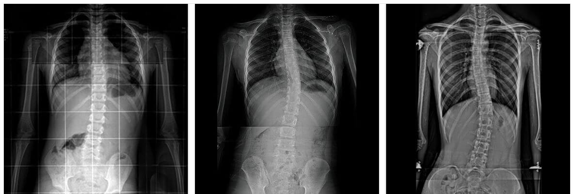
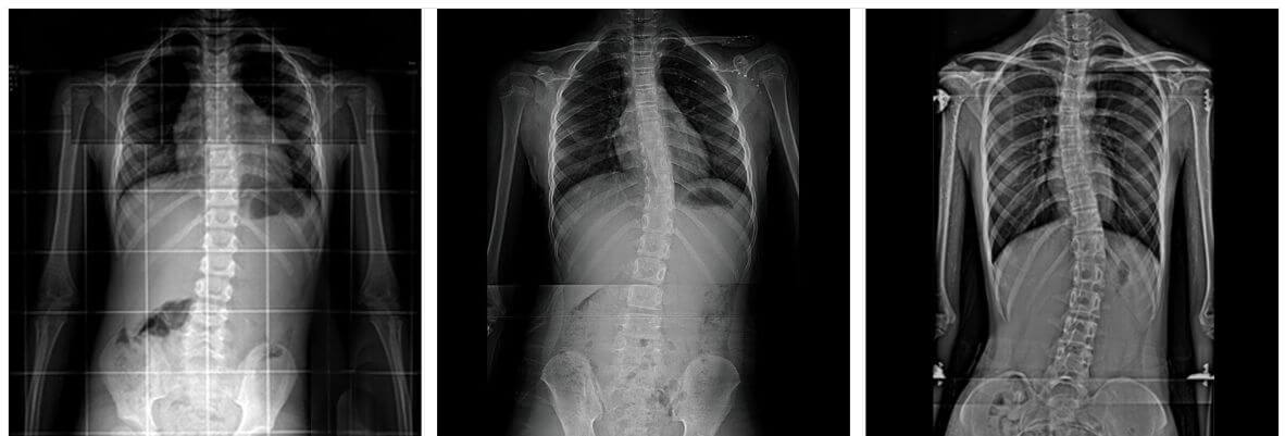
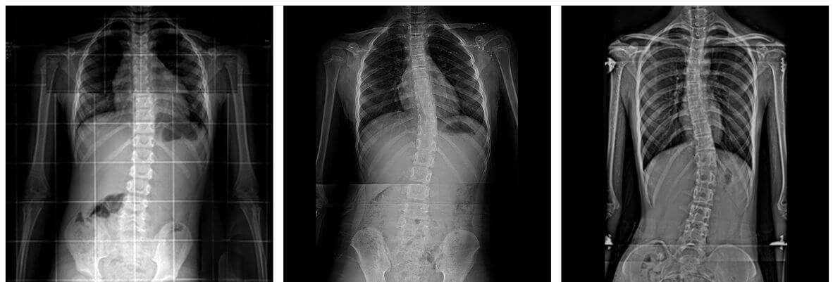
우리가 흔히 척추측만증으로 부르는 척추옆굽음증은 척추의 형태가 앞, 뒤, 좌, 우 혹은 복합형으로 틀어지고 휘어진 형태를 말합니다.
보통 10세 전후에 증상이 시작돼 청소년기에 진행속도가 빨라졌다가 성장이 끝나면 진행이 멈추거나 진행속도가 늦춰지는 것이 일반적입니다.
척추측만증은 척추가 성장하는 청소년기에 가장 많이 발생하고 전체 인구의 약 2~3% 정도의 발생빈도를 보이며, 여학생의 경우는 남학생의 경우에 비하여 4배가량 높은 것으로 보고되어 있습니다.
척추는 태어났을 때부터 사춘기를 지나 성인 키에 도달할 때까지 성장하는데, 측만증은 척추의 성장이 많이 일어날 때 악화될 수 있습니다.
따라서 측만증은 성인 키가 되기 전까지는 항상 발생할 수 있는 질환입니다.

2. 척추측만증 원인
척추측만증은 보통 비구조성 측만증과 구조성 측만증으로 나뉘는데 척추가 일시적으로 휜 상태를 "비구조성 측만증"이라고 부릅니다.
이는 다리 길이의 차이 또는 허리 디스크에 의한 통증 등이 원인이 되어 척추가 구조적인 변화 없이 일시적으로 옆으로 휜 상태를 의미합니다.

근본적인 원인을 치료하면 척추가 똑바로 펴지므로 비구조성 측만증은 진정한 의미의 측만증이라 할 수 없습니다.
구조성 측만증은 척추의 구조적인 변화에 의하여 영구적으로 휜 상태를 말하는데, 여기서 우리가 흔히 말하는 척추측만증이 이 "구조성 측만증"을 말합니다.
(1) 구조성 척추측만증 종류
① 특발성 측만증 : 원인을 밝히지 못하는 측만증
② 선천성 측만증 : 태어날 때 척추병에 기형이 있어 생기는 측만증
③ 신경근육병성 측만증 : 신경 질환이나 근육 질환에 의하여 생기는 측만증
④ 기타 질환 측만증 : Marfan(말판) 증후군, 신경섬유종증, 골형성부전증 등의 질환에 동반되는 측만증
(2) 특발성 척추측만증
일반적으로 척추측만증의 원인으로 나쁜 자세를 꼽지만 자세 때문에 생기는 기능성 척추측만증은 흔하지도 않고 그 정도도 심하지 않습니다.
청소년기에 나타나는 척추측만증은 85% 이상이 원인을 알 수 없는 "특발성 척추측만증"인 경우입니다.
"특발성"이라는 단어는 "원인을 잘 모른다"라는 의미로 특발성 측만증의 원인을 밝히기 위하여 수십 년간 연구를 진행해왔고 지금도 계속 연구를 진행하고 있지만, 아직도 원인을 밝혀내지 못하고 있습니다.
(3) 선천성 척추측만증
선천성 척추측만증(congenital scoliosis)은 태어날 때 척추뼈가 기형적으로 잘못 생겨서 나타나는 측만증입니다.
X-ray검사를 하면 척추뼈의 기형을 비교적 쉽게 발견할 수 있습니다.
일단 기형이 발견되면 4~6개월에 한 번씩 정기적으로 진찰을 받아야 합니다. 기형이 단시간 내에 빨리 증가한다고 판단되면 서둘러 수술치료를 해야 합니다.
(4) 신경근육병성 척추측만증
중추신경계 혹은 신경학적 이상에 의해 척추를 세우는 근육의 힘이 저하되어 발생합니다.
관련 질환으로는 뇌성마비, 근위축성 근육병 등이 원인이 됩니다.
3. 척추측만증 증상
척추측만증이 발견되는 계기는 주로 체형의 이상 때문입니다.
거울을 보다가 자신의 좌우 어깨 높이가 다르거나 유방의 크기가 서로 다른 것을 보고 발견하기도 하고, 등, 허리의 한쪽이 다른 쪽보다 더 튀어나온 것을 보고 부모님이나 주변 사람이 발견하는 경우도 있습니다.
이처럼 척추측만증 중 가장 흔한 특발성 척추측만증의 주 증상은 외관상의 이상으로, 통증이 없고 지능이나 운동능력도 다른 아이들과 다를 바가 없으며 일상생활에서 크게 불편한 것이 없습니다.
척추측만증의 대표 증상은 다름과 같습니다.
○ 가만히 서 있을 때 양쪽 어깨의 높낮이가 다르며, 다리를 꼬고 앉았을 때 더욱 편안함을 느낀다
○ 편하게 서 있으면 몸이 한쪽으로 기울어짐을 느끼고, 차렷자세를 했을 때 좌우 팔길이가 다르다
○ 신발이나 구두를 보면 유독 한쪽만 닳아있다.
○ 허리의 경우 골반 높이가 다르며, 한쪽 브래지어 끝이 유독 잘 흘러내린다.
○ 치마나 바지를 입었을 때 한쪽으로 심하게 돌아간다
○ 등을 구부렸을 때 어느 한쪽이 비정상으로 튀어나와 있다
○ 조금만 걸어도 쉽게 피로감을 느낀다.
4. 척추측만증 치료법
측만증의 심한 정도는 각도로 표시하며, 이 각도의 정확한 명칭은 콥스각(Cobb's angle)이라 합니다. 이 각도가 몇 도인지 알아야 치료를 결정할 수 있습니다.
보통 척추가 10도 이내로 휘었을 때는 측만증이라 하지 않는데, 이는 일시적인 통증이 오거나 측만증이 없는 상태에서도 척추가 보통 10도 정도 휠 수 있기 때문입니다.
25도가 넘으로면 외관상의 변화가 나타나고, 45도 이상이면 수술적 치료대상이 됩니다.
각도는 언제나 측정 오차범위를 가지고 있어 동일한 의사가 1분 차이로 측정해도 5도 내외의 오차범위를 갖습니다.
(1) 측만증의 치료 목표
- 측만증의 치료 목표는 다음과 같습니다.
○ 만곡이 크지 않은 환자(40도 미만)에서는 보조기 치료를 통해 만곡이 더 이상 커지는 것을 예방한다
○ 만곡이 큰 환자(45~50도)에서는 수술적 치료를 통해 만곡을 작게 만들어 준다
이러한 목표를 달성함으로써 환자의 외관(cosmesis)을 좋게 하고, 심폐기능을 호전시키며, 요통을 예방할 수 있게 됩니다.
치료방법을 결정하는 요소는 잔여 성장과 측만증의 심한 정도입니다.
앞에서 설명했듯이 척추 성장이 활발할 때가 가장 위험하기 때문에 적극적인 치료를 해야 합니다.
1) 보존적 치료 : 측만증을 조기에 발견하여 운동, 보조기구 등으로 치료
2) 수술적 치료 : 휘어짐이 심해 교정이 불가능한 경우 수술을 통해 치료
(2) 보존적 치료
보전적 치료는 측만증을 조기에 발견하여 적절한 운동이나 보조기 착용 등을 통해 치료할 수 있는 경우 시행합니다.
주로 20도 이하로 휘어졌고, 척추가 유연한 경우 운동을 통해 교정할 수 있으며 주기마다 방사선 촬영을 통해 교정정도를 확인합니다.
운동을 통해 척추의 휘어진 각도를 줄이지는 못하지만, 척추의 유연성은 유지할 수 있기 때문에 굳이 수술을 하기보단 운동으로 대체하게 됩니다.
운동을 해도 척추가 점점 더 휘어지게 될 경우 보조기를 착용합니다.
(3) 수술적 치료
보통 45도가 넘기 시작하면 수술을 하는데 척추성장이 더 이상 진행되지 않아 측만증이 진행되지 않아도 45도가 넘으면 성장이 종료된 시점부터 1년에 약 1.8도 정도 점점 더 휘는 것으로 알려져 있습니다.
* 수술이 필요한 경우
- 휘어짐이 심해 외관상으로 문제가 되고, 보전적으로도 교정이 불가능한 경우
- 성장기 아동에게 보전적 치료를 했으나, 휘어짐이 진행되는 경우
- 요부만곡으로 체간의 불균형이 심하거나, 이차적으로 통증을 호소하는 경우
* 수술 비용 및 회복 기간
성인 50도 넘으면 장애등급으로 의료보험 적용이 됩니다. 수술 비용뿐만 아니라 검사 비용과 보조기 비용 등이 드니 참고하시기 바랍니다.
수술 비용은 병원 및 사용되는 장비, 수술 방법, 진행 정도에 따라 달라질 수 있습니다.
- 척추 수술 비용 : 한 분절기준 약 200만 원 정도 (분절 추가 시 약 20만 원 추가)
- 수술시간 : 약 1시간
- 입원기간 : 약 2주
- 회복기간 : 3개월 ~ 6개월
척추 수술은 다양한 금속 내 고정 물을 통해 척추의 휘어짐을 최대한 교정한 뒤 척추 융합술을 통해 교정을 유지합니다.
수술이 끝난 뒤 수년간 경과 관찰을 받아야 하며 만약, 측만증이 재발하게 될 경우 재수술을 통해 교정합니다.
이제까지 척추측만증이란? 원인, 증상 및 치료법까지 알아보았습니다.
2023.01.06 - [Health] - 허리디스크(요추추간판탈출증)수술 및 수술비용, 회복기간
허리디스크(요추추간판탈출증)수술 및 수술비용, 회복기간
허리디스크 수술 및 수술 비용, 회복 기간 오늘은 가장 흔한 퇴행성 질환 중 하나인 허리 디스크에 대해서 알아보겠습니다. 엉덩이와 다리까지 통증이 느껴지는 허리디스크! 어떤 치료를 해야
layerfly.com
'Health' 카테고리의 다른 글
| 기관지확장증 치료, 원인, 증상 쉽게 정리 (0) | 2023.01.07 |
|---|---|
| 허리디스크(요추추간판탈출증)수술 및 수술비용, 회복기간 (0) | 2023.01.06 |
| 손목터널증후군 치료법 및 증상, 원인 알아보기 (0) | 2023.01.02 |
| 회전근개파열 치료 수술비용 (feat.원인 증상) (0) | 2022.12.29 |
| 대사증후군이란? 원인, 진행단계, 증상, 치료 정리 (0) | 2022.12.28 |
댓글